Dr Chinmayee Kar

full mouth rehabilitation

full mouth rehabilitation

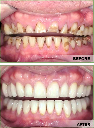
Full mouth rehabilitation is a comprehensive treatment designed to restore your oral health, function, and appearance. By addressing a range of dental issues, from missing teeth to bite problems, we can help you achieve a beautiful, confident smile. This transformative process improves your ability to eat, speak, and smile with ease, ultimately enhancing your overall quality of life.

full mouth rehabilitation
full mouth rehabilitation What exactly is full-mouth rehabilitation?

What exactly is full-mouth rehabilitation?

  • Full-mouth rehabilitation is a comprehensive dental treatment approach aimed at restoring optimal oral health and function across the entire mouth.
  • It involves addressing multiple dental issues, including tooth decay, gum disease, bite problems, missing teeth, and damaged or worn-out dental restorations.
  • The process of full-mouth rehabilitation often requires collaboration between different dental specialists, such as prosthodontists, periodontists, endodontists, and oral surgeons.
  • Each treatment plan for full-mouth rehabilitation is customized to the unique needs and goals of the individual patient, considering factors like oral health status, aesthetic preferences, and budget.
  • Full-mouth rehabilitation may include various procedures such as dental implants, crowns, bridges, veneers, gum treatments, root canal therapy, and orthodontic treatment.
  • The ultimate goal of full-mouth rehabilitation is to restore proper oral function, improve aesthetics, enhance overall oral health, and ultimately, improve the patient’s quality of life.

Benefits of full-mouth rehabilitation

  • Comprehensive oral health improvement: Full-mouth rehabilitation addresses multiple dental issues, including decay, gum disease, and bite problems, resulting in overall oral health enhancement.
  • Restored chewing and speaking functions: By correcting dental problems like missing teeth or misaligned bites, full-mouth rehabilitation improves chewing efficiency and speech clarity, leading to better oral function..
  • Enhanced aesthetics: Through procedures such as dental implants, veneers, and crowns, full-mouth rehabilitation enhances the appearance of the smile, boosting self-confidence and overall facial aesthetics.
  • Prevention of future dental problems: Full-mouth rehabilitation aims to address underlying dental issues comprehensively, reducing the risk of future complications and the need for additional treatments.
  • Improved quality of life: With restored oral health, function, and aesthetics, individuals undergoing full-mouth rehabilitation experience enhanced comfort, confidence, and overall well-being in their daily lives.
  • Customized treatment plans: Full-mouth rehabilitation is tailored to each patient’s specific needs and goals, ensuring personalized care and optimal outcomes for long-term oral health and satisfaction.
full mouth rehabilitation Benefits of full mouth rehabilitation

If you need full-mouth rehabilitation treatment, contact us now.

Biopsy And Cancer Management?​ Happy Dentist

Preserving a beautiful smile is invaluable.

Biopsy And Cancer Management?​ Happy Dentist
Scroll to Top