Oral & Cyst Tumor
- Home
- Oral Cyst-Tumor
Oral & Cyst Tumor
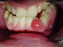
Oral & cyst tumor are abnormal growths in the mouth. Cysts are fluid-filled sacs, while tumors can be benign (non-cancerous) or malignant (cancerous). They can cause discomfort, difficulty chewing, and affect appearance. Early detection and treatment are crucial.
 
													 
													What exactly are Oral & Cyst Tumor
- Oral & cyst tumor are abnormal growths that develop within the oral cavity, including the lips, gums, tongue, and jawbone.
- Cysts are fluid-filled sacs that can form in various locations within the mouth, while tumors are solid masses of tissue that may be benign (non-cancerous) or malignant (cancerous).
- Common types of oral cysts include periapical cysts, dentigerous cysts, and radicular cysts, which typically develop as a result of infection, inflammation, or developmental abnormalities.
- Oral & cyst tumor can arise from different tissues within the mouth, including the epithelial lining, salivary glands, and connective tissues, and may present as growths, ulcers, or discolorations.
- Symptoms of Oral & cyst tumor may vary depending on their location, size, and underlying cause, but can include swelling, pain, difficulty chewing or swallowing, and changes in oral function or appearance.
- Early detection and prompt treatment of Oral & cyst tumor are essential for optimal outcomes, as they can cause complications if left untreated, including damage to surrounding tissues, tooth displacement, and potential spread of cancer in the case of malignant tumors.
Benefits of Oral & Cyst Tumor
- Early detection: Identifying oral cysts and tumors early allows for prompt treatment, potentially preventing further complications and ensuring better treatment outcomes.
- Personalized treatment: Each case of oral cysts and tumors is unique, and treatment plans are tailored to the individual’s specific condition, needs, and goals.
- Improved oral health: Treating oral cysts and tumors can help restore oral health by resolving symptoms such as pain, swelling, and difficulty chewing or swallowing.
- Prevention of complications: Addressing oral cysts and tumors promptly can prevent complications such as infection, tooth displacement, and potential spread of cancer in the case of malignant tumors.
- Treating oral cysts and tumors promptly can prevent the spread of the growths to other parts of the body.
- Reduced anxiety: Early detection and treatment of oral cysts and tumors can alleviate anxiety and concerns about potential health risks, allowing patients to regain peace of mind and confidence in their oral health.
 
													 
													 
					 
													 
													