Teeth Filling
- Home
- Teeth Filling
Teeth Filling
Experience the artistry of teeth fillings, where meticulous attention to detail meets exquisite craftsmanship. Revel in the confidence of a flawlessly balanced and aligned smile. Our skilled professionals expertly sculpt the lines and contours of your teeth, delivering a harmonious and aesthetically pleasing appearance.
 
													 
													What exactly are teeth fillings?
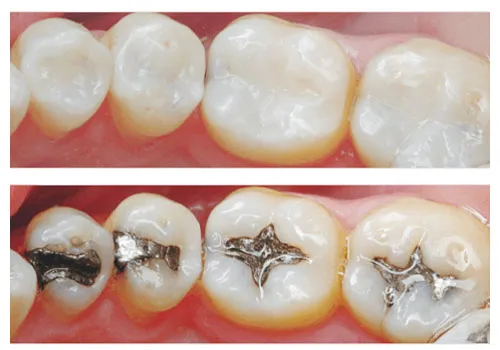
- Teeth fillings are dental restorations used to repair and restore teeth that have been damaged by decay, fractures, or other forms of damage.
- They are typically composed of various materials, such as amalgam (a mixture of metals), composite resin (a tooth-colored material), gold, ceramic, glass ionomer, or resin ionomer, each offering unique properties and benefits.
- The filling material is placed into the prepared cavity or area of damage in the tooth and shaped to restore the natural contours and function of the tooth.
- Fillings can be matched to the natural color of the tooth for a more aesthetically pleasing result, especially with composite resin or porcelain fillings.
- With advancements in dental technology and materials, modern tooth fillings can provide excellent durability, aesthetics, and longevity, allowing patients to enjoy restored oral health and function for many years.
Benefits of Teeth Filing
- Restored tooth structure: Teeth fillings help restore the structural integrity of damaged teeth, preventing further deterioration and preserving the tooth’s function.
- Prevention of decay progression: By filling cavities caused by decay, teeth fillings halt the progression of decay, preventing it from spreading to neighboring teeth and causing more extensive damage.
- Improved aesthetics: Tooth-colored composite fillings blend seamlessly with natural teeth, providing a more aesthetically pleasing alternative to traditional amalgam fillings.
- Enhanced chewing ability: With repaired cavities, patients can chew food more comfortably and effectively, improving overall oral function and nutrition.
- Reduced sensitivity: Teeth fillings can help alleviate tooth sensitivity caused by cavities or enamel erosion, allowing patients to enjoy hot, cold, and sweet foods and beverages without discomfort.
 
													 
													 
					 
													 
													